2019年,WHO正式将“4月14日”定为“世界恰加斯病日”,以此唤起对这一在全球扩散且仍属于被忽视热带病的重视。
恰加斯病(Chagas disease),又称美洲锥虫病(American trypanosomiasis),是一种由鞭毛体原虫克氏锥虫引起的人畜共患热带病。


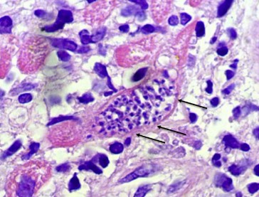
血液中和细胞内寄生的克氏锥虫(图片来源于文献)。
恰加斯病最早是由巴西医生恰加斯.克洛斯在1909年首先诊断出该疾病的第一例患者,故称为恰加斯病。本病多发于美洲,临床上主要引起心脏、消化道及外周神经系统改变,病死率极高。 恰加斯病潜伏期长,极难诊断,没有疫苗,病程晚期没有特效药。
传播媒介为半翅目的锥蝽(triatomine)(俗名臭虫),多夜间吸血。当锥蝽叮咬哺乳动物宿主并摄入哺乳动物宿主血液中的锥鞭毛体后数小时,锥鞭毛体在肠内转变为无鞭毛体,而后转变为球鞭毛体进入中肠,发育为上鞭毛体,并在锥蝽中肠内以二分裂法大量繁殖,最后在锥蝽后肠转化为循环后期锥鞭毛体。当染虫锥蝽再次吸血时,循环后期锥鞭毛体在叮咬伤口附近的粪便中释放,通过伤口或完整的粘膜进入宿主。锥鞭毛体进入宿主血液后,感染巨噬细胞,并在细胞内分化为无鞭毛体。生活史示意图如下图所示。

恰加斯病主要流行于拉丁美洲,根据最近的估计,目前在拉丁美洲仍有6-7百万人感染克氏锥虫,每年至少有数万死亡病例。在美洲把这种疾病看作公共健康的重要的挑战。当前,随着全球经济一体化进程的加速,北美、欧洲多地以及日本和澳大利亚、新西兰、加拿大等国均发现输入性病例。在过去的二十年中,此病的流行病学已经发生了重大变化,从流行区向非流行区扩散,成为全球公共卫生挑战。
主要传播途径
恰加斯病大多数感染是在流行区通过媒介昆虫锥蝽传播的,但也能通过输血或器官移植传播,由母婴垂直传播,也可由摄入污染了克氏锥虫食物或液体而传播,或是由于实验室工作人员接触活的虫体而发生的实验事故传播等。

被克氏锥虫感染后,少数患者会发展为期4-8周的急性期。大约30-40%的感染者将随后发展慢性恰加斯心脏病和/或慢性恰加斯消化症状,通常10-30年后才会发病。恰加斯心脏病是发生在拉丁美洲的心脏病中最常见的病因,是流行地区中年人心血管疾病死亡的一个主要原因;慢性恰加斯病在胃肠道通常会导致巨食管或巨结肠症。

目前美洲锥虫病无疫苗,对此病的预防措施主要是避免锥蝽叮咬;避免食用锥蝽排泄物污染的食物;禁止恰加斯病慢性感染者献血和捐献器官,避免输入恰加斯病慢性感染者血液及移植恰加斯病慢性感染者器官等。
我国到目前还没有输入性恰加斯病病例报道。但在我国东南沿海有传播恰加斯病的媒介—锥蝽分布,加强恰加斯病的监测具有重要的意义。值此“恰加斯病日”,呼吁广大医务人员、疾控、公共卫生管理者关注这一疾病,特别是加强来自于拉丁美洲疫区的可能的输入病例的检测、管理和报告,这将对我国防控这一疾病的输入具有重要的意义。