在疟疾流行区,恶性疟危害严重,那在已经消除疟疾地区和非疟疾流行区是不是就没有危害了呢?
答案是否定的。疟原虫进入人体后,需要先在肝脏内发育一段时间,然后才侵染人血液红细胞。血液中原虫数量达到一定密度(发热阈值)时,人体开始出现发热等临床症状(进入人体至出现症状为疟疾的潜伏期)。从疟疾流行区返回消除或非疟疾流行区的潜伏期患者(输入病例),若是第一次感染,其对疟疾的了解是陌生的。消除和非疟疾流行区的大多数医生因常年遇不到疟疾病例,通常也都是“新手”。但患者体内疟原虫却依然“恶”。
增殖速率快,耽误不起
疟原虫对人体的伤害程度与其在人血液中的密度密切相关。疟原虫在人血液期采用的增殖方式为裂体增殖,该方式不需要两个个体之间的交配或受精过程,可以节省大量的时间和能量,快速扩大个体数量[1],获得先机。具体过程为细胞核先进行连续的分裂,然后细胞质再分裂,包绕在每个核的周围,形成许多裂殖子,即个体通过自我分裂产生多个与原始个体具有相同遗传信息的后代[2-3]。
恶性疟原虫是4种原虫中增殖速率最快的。首先是其增殖周期相对较短。三日疟原虫一个增殖周期为72小时,间日疟原虫和卵形疟原虫为48小时,恶性疟原虫为36-48小时。再者,恶性疟原虫一次增殖的后代数量较多。一个三日疟原虫和卵形疟原虫成熟裂殖体中含裂殖子4-12个裂殖子,而恶性疟原虫为8-40个,以16-24个常见[1,4-5]。
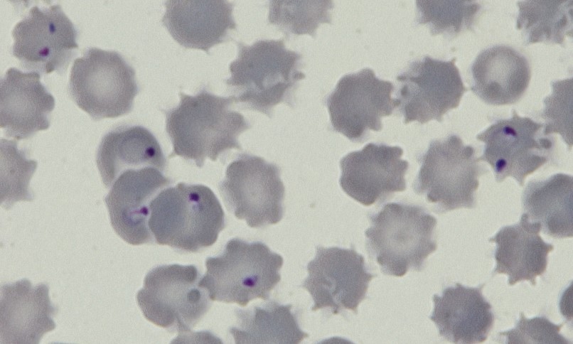
举例来说明一下恶性疟原虫在人体内的增殖速率。恶性疟原虫的发热阈值为500-1300个虫/微升血[1]。以500个虫/微升血时开始发热、每个裂殖体含16个裂殖子计,若发热后患者未及时治疗,72-96小时内(3-4天)人体内原虫密度最高可达128,000个虫/微升血,接近或将在短时间内发展为重症疟疾(标志之一是血液中被原虫感染红细胞的比率(原虫血症)大于10%,红细胞以5,000,000个/微升血计)[5](见图1和图2)。
图1 恶性疟重症患者厚血膜中的原虫(红细胞已溶血观察不到)(×1000)
图2 恶性疟重症患者薄血膜红细胞中的原虫(×1000)
由此可见,恶性疟疟疾患者自出现症状开始,留给医生和患者诊疗的时间就不多了,更耽误不起。
临床表现“欺生”
疟疾的临床表现有时具有迷惑“新手”医生和“新鲜”患者、导致正确诊疗延误的可能性。疟疾在临床上通常表现为发作期和间歇期周期性变化。发作期时,患者的临床表现常常和感冒等国内常见疾病的发热症状非常相似,不易区分[1]。间歇期时,人会感觉相对舒服些,甚至无不适症状。后者可能会给还未开展疟疾筛查的患者造成病情好转的错觉,从而导致未见识过疟疾的“新手”医生和未感染过疟疾的“新鲜”患者轻视病情,延误进一步的正确诊疗。延误诊疗,是我国近年来恶性疟患者发展为重症疟疾、甚至死亡的最主要原因。
隐匿发育隐患大
除了与其他疟原虫的共性,恶性疟原虫还具有独有的隐匿发育特性,这对患者来说,是更大的隐患。
所谓隐匿发育,是指刚刚侵入人血液红细胞的恶性疟原虫(早期滋养体,或称环状体,见图3)在外周血液中发育,但十几个小时后,他们将逐渐隐匿于内脏各器官(如肝、肾、脾、骨髓等)的微血管、血窦或其他血流缓慢处,再发育为晚期滋养体(或称大滋养体)和裂殖体[1](见图4和图5)。
当隐匿发育的原虫达到较高密度时,会导致其所在内脏器官的微血管、血窦等的大面积阻塞或破裂,直接损害这些器官的正常功能,这是恶性疟较其他疟疾更容易发展为重症疟疾、甚至造成死亡的原因之一。
另外,若患者体内的恶性疟原虫恰巧都一起“长大”,同时成长为晚期滋养体和裂殖体,此时采集外周血,涂制血膜(图6),染色后在显微镜下观察时,有可能检查不到疟原虫,从而出现临床假阴性结果。而真实情况是恶性疟原虫正“躲”在安静的地方努力增殖后代。恶性疟疟原虫的这一特性和假阴性结果,可能会让“新手”医生和“新鲜”患者排除疟疾感染,导致漏诊或误诊,延误治疗。
同时,晚期滋养体期和裂殖体期正好是疟疾患者的间歇期,当下一次发作期到来时,大量的裂殖子及刺激物突然被同时释放,患者可能会出现病情急速恶化的情况,让患者就医或医生诊疗措手不及。
图3 环状体期的恶性疟原虫(×1000)

图4 大滋养体期的恶性疟原虫(×1000)

图5恶性疟原虫裂殖体模式图[6]

染色前 染色后
图6 载玻片上的血膜(舌状为薄血膜,圆形为厚血膜)